Nossas Unidades
- Vila Isabel/RJ
- Bangu/RJ
- Barra da Tijuca/RJ
Contatos
- contato@babytooth.com.br
- (21) 9 7968-8171
© Copyright 2025. Todos os diretos reservados a BabyTooth Kids. Feito com amor ❤️ @militaodesigner.psd
Na Babytooth Kids, personalizamos aparelhos móveis e fixos com os temas favoritos das crianças, tornando o tratamento ortodôntico uma experiência divertida! Cada aparelho é adaptado para conforto e eficácia máximos. Agende uma consulta conosco para descobrir o melhor para o sorriso do seu filho.
O Invisalign® é a solução moderna para alinhar os dentes sem o uso de aparelhos metálicos, perfeito para adolescentes e crianças mais velhas. Na Babytooth Kids, oferecemos essa opção discreta e confortável, que transforma sorrisos sem interferir no dia a dia. Consulte-nos para mais detalhes e veja se é a escolha certa para seu filho.
A frenectomia lingual e labial pode ser a chave para resolver dificuldades de fala e alimentação em crianças. Esse procedimento simples corrige a limitação dos movimentos causados por freios curtos. Marque uma consulta na Babytooth Kids para saber mais sobre como podemos ajudar seu filho a ter mais conforto e saúde bucal.
Na Babytooth Kids, cuidamos do sorriso dos seus pequenos com todo o carinho e profissionalismo que eles merecem. Nossa clínica de odontopediatria é dedicada exclusivamente ao atendimento infantil, oferecendo um ambiente acolhedor e divertido que faz cada visita uma aventura agradável.
Nossos profissionais são altamente qualificados e especializados em odontopediatria, comprometidos em promover a saúde bucal desde os primeiros anos de vida. Utilizamos técnicas modernas e equipamentos de última geração para garantir tratamentos eficazes e seguros.
Na Babytooth Kids, acreditamos que educar as crianças sobre a importância da higiene bucal é fundamental para desenvolver hábitos saudáveis que durarão toda a vida. Por isso, além dos cuidados clínicos, oferecemos orientações lúdicas que ajudam as crianças a entenderem a importância de cuidar dos dentes.
Venha nos visitar e descubra por que somos a clínica que faz o sorriso da sua criança brilhar mais forte!
Descubra porque a Babytooth Kids é a melhor para cuidar do bem mais preciso desse mundo, a sua família!








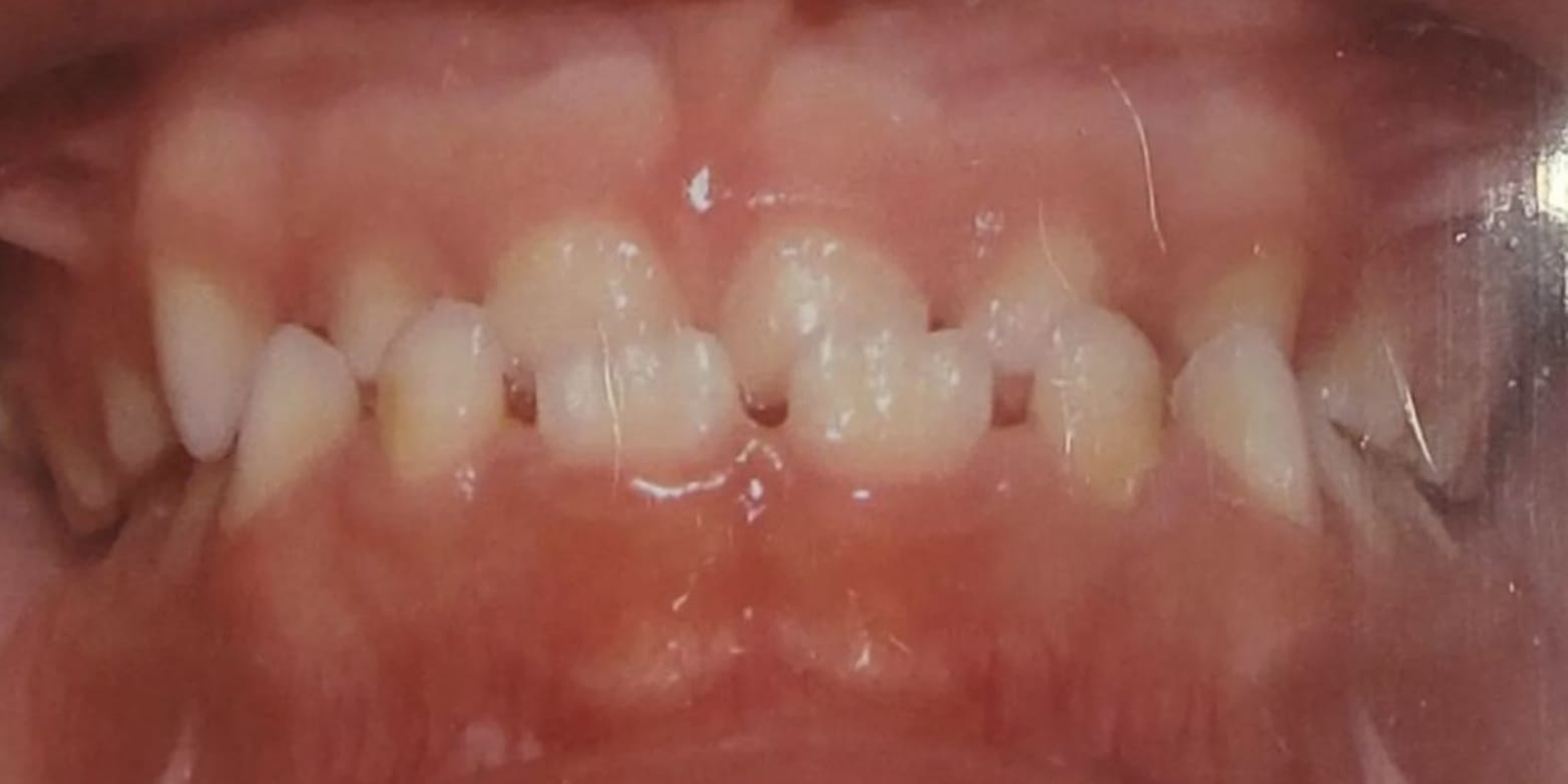
Na Babytooth Kids, transformamos o tratamento ortodôntico em uma aventura divertida! Oferecemos aparelhos fixos e removíveis estampados com personagens e desenhos favoritos das crianças, tornando cada sorriso único.
Designs Divertidos: Aparelhos estampados com personagens favoritos para maior empolgação e cooperação das crianças.
Conforto e Segurança: Ajuste perfeito e materiais seguros para uso infantil.
Resultados Rápidos e Profissionais: Tratamento eficiente supervisionado por especialistas em odontopediatria.


O Invisalign® oferece uma solução inovadora para alinhar os dentes de forma gradual, sem fios, metais ou restrições. Com uma série de alinhadores transparentes e removíveis, você pode conquistar o sorriso dos seus sonhos!
Não espere mais para transformar o seu sorriso! Agende uma consulta na Babytooth Kids Consulte as condições de parcelamento no Boleto.
Para muitas pessoas a resposta é sim!
Se você quer ter o sorriso dos sonhos, veja o que Invisalign pode fazer para você.
Qual opção descreve melhor o seu sorriso?
Clique no botão abaixo e faça já a sua avaliação para descobrir. Confira nossas opções de parcelamento no Boleto.







Confira os depoimentos dos pacientes atendidos pela Dra. Gabriela Andrade, diretora e criadora da BabyTooth. Sua expertise e dedicação garantem sorrisos saudáveis e felizes em cada criança que passa por nossa clínica. 🌟🦷





R. Silva Pinto, 49 - Sala 905 - Vila Isabel, Rio de Janeiro - RJ, 20551-190
Horários: Quarta a Sexta de 9h as 18h • Sábados das 9h às 15h

R. Silva Cardoso, 154 - sala 513 - Bangu, Rio de Janeiro - RJ, 21810-032
Horários: Segunda e Terça de 9h as 18h

Av. Evandro Lins e Silva, 840 - sala 1903 - Barra da Tijuca, Rio de Janeiro - RJ, 22631-470 • Pré-agendamentos no link abaixo.
Oferecemos todos os principais procedimentos odontológicos, desde limpezas e check-ups regulares até tratamentos especializados como frenectomia, aparelhos ortodônticos e Invisalign®️.
Sim, apesar de sermos uma clínica especializada em odontopediatria, também proporcionamos tratamento odontológico para adultos.
Nossa equipe é liderada pela Dra. Gabriela Andrade, que possui vasta experiência em odontologia e é especialista em cuidados pediátricos e adultos.
Não, atualmente não aceitamos planos de saúde ou convênios. Todos os pagamentos são realizados diretamente na clínica.
A unidade de Vila Isabel funciona de segunda a sexta, das 9h às 18h, e aos sábados, das 9h às 15h.
Em Bangu, estamos abertos de segunda a sexta, das 9h às 18h.
Nossa clínica possui um ambiente totalmente adaptado para crianças, com brinquedos, decoração temática e uma abordagem de atendimento humanizado. Nosso foco é a adaptação e o cuidado para que a visita ao dentista seja uma experiência positiva e livre de traumas para as crianças.
Você pode agendar sua consulta entrando em contato conosco por telefone ou através de nosso site. Detalhes para contato estão disponíveis na página “Contato” do nosso site.
Sim, a Dra. Gabriela Andrade possui especialização e vasta experiência no atendimento de crianças com deficiência mental, autistas e outras necessidades especiais. Na Babytooth Kids, compreendemos as desafios únicos enfrentados por essas crianças e estamos preparados para oferecer um cuidado odontológico personalizado, atencioso e adaptado para cada criança, garantindo um ambiente acolhedor e uma experiência positiva.
© Copyright 2025. Todos os diretos reservados a BabyTooth Kids. Feito com amor ❤️ @militaodesigner.psd